12 - RITUALITA' IMPLANTARI

11 - CONDIZIONI DI STERILITA'

Chirurgia sterile, chirurgia contaminata pulita

8 - TEMPISTICA DI POSIZIONAMENTO: PERFORAZIONE DELLE CORTICALI

News n. 8 del 29/01/2021

10 - ASPETTI MECCANICI: SPESSORI E FRATTURE, TORQUE E CAVITAZIONE

9 - IL RIMODELLAMENTO DELL'OSSO

News n. 9 - 10/02/2021 : Osteointegrazione, tempi, modalità, durata

6 - CONFRONTO TRA IMPLANTOLOGIA OSTEOINTEGRATA E IMPLANTOLOGIA DI SCUOLA ITALIANA.

CONSEGUENZE DELLA DIVERSA OPERATIVITA’ TRA LE DUE METODICHE: Durante la progettazione, durante l’inserimento, durante la guarigione e dopo la guarigione.

5 - LONGEVITÀ DEGLI IMPIANTI

Il carico immediato degli impianti

4 - IMPIANTO DI TRAMONTE IN ETA' AVANZATA

Un paziente con impianti italiani da 28 anni ha bisogno ancora di impianti ma ora ha quasi novanta anni e prende molte medicine.

3 - FORMA DEGLI IMPIANTI E DENSITÀ DELL'OSSO

Ovvero: perchè l’impianto di Tramonte va così bene. 1° motivo: forma adeguata alla struttura.

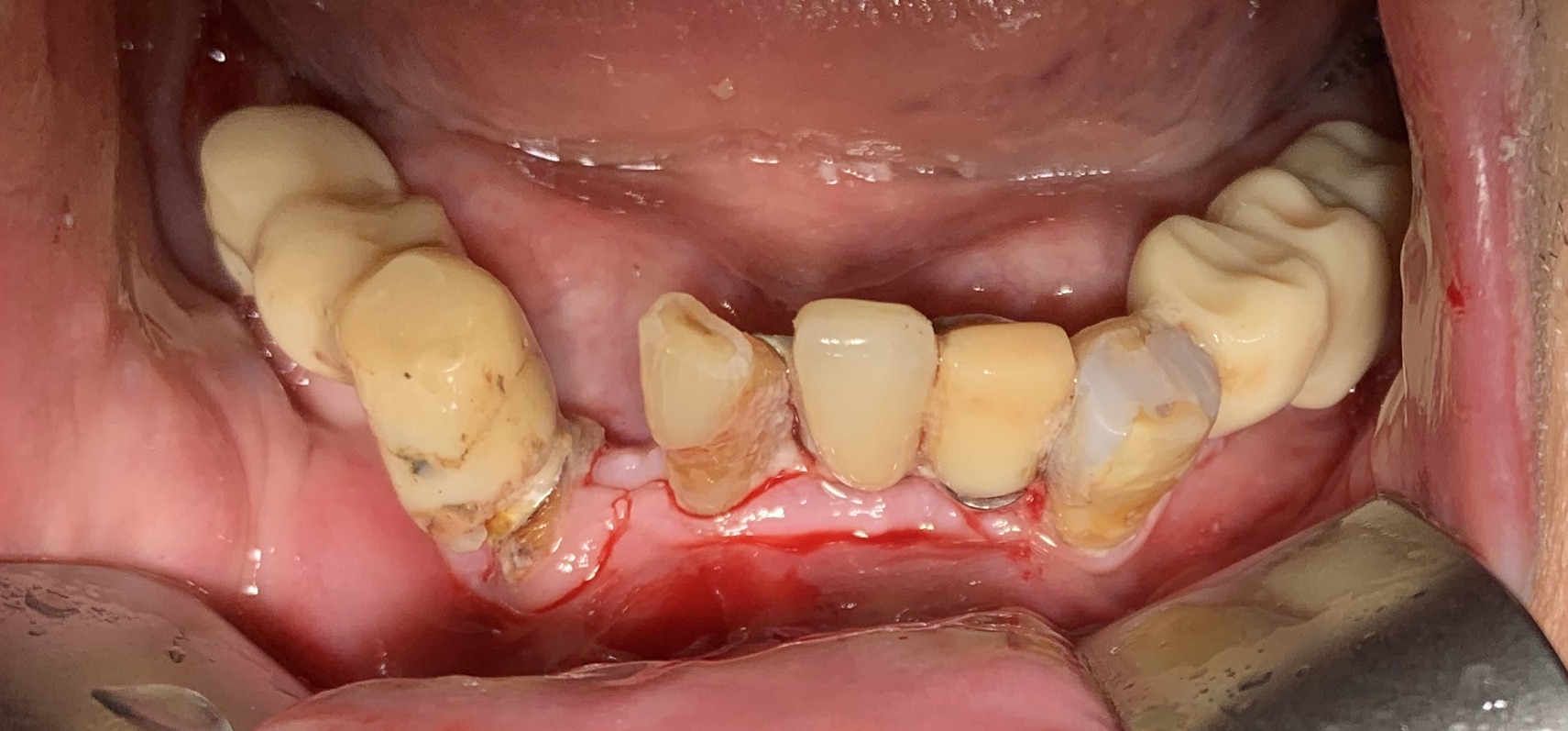
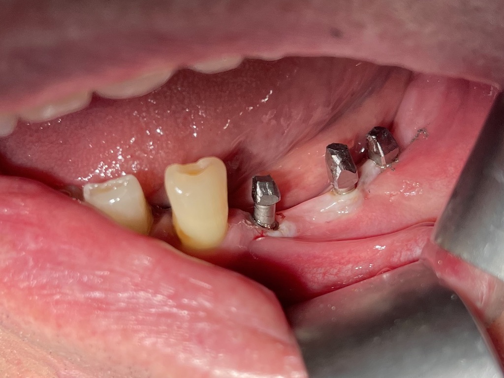
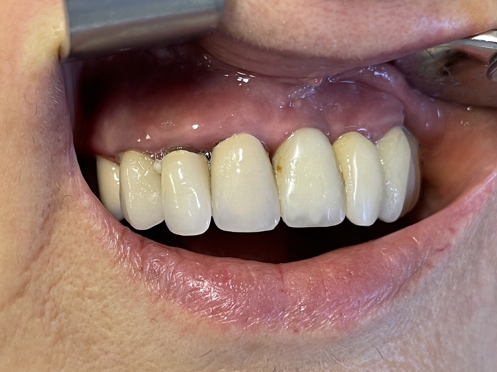
1 - UN CASO INCISIVO

Frattura di elemento incisivo inferiore 31 e riabilitazione implantare

2 - ESTETICA E FUNZIONE NELL'IMPLANTOLOGIA UMANA

Sulla perfezione estetica...

Ops!
Sembra che la versione di questo browser non sia supportata.
Puoi provare con uno dei seguenti browser

Chrome

Firefox

Edge

Safari

Opera