News n. 5. 19/12/2020
Impianti postestrattivi immediati con carico immediato.
In molte ricerche, articoli e testi si parla spesso, riferendosi agli anni della seconda metà del 1900, di albori della implantologia, quasi fossero un periodo primitivo
e ormai superato, a fronte delle mirabili sorti e progressive della scienza implantologica cge è continuamente progredita anno dopo anno da allora.
Ma per chi ha vissuto e lavorato in quegli anni anche solo parzialmente come noi, (ricordo la prima iscrizione alla SOMECOI del Prof:Ugo Pasqualini avvenuta nel 1984), resta vivacissima la consapevolezza che i fondamenti della terapia implantologica sono rimasti i medesimi.
Tante mode si sono rivelate passeggere, mi riferisco ad esempio alle tecniche chirurgiche di innesto osseo nei settori posteriori della bocca. Invece si è rivalutato uno dei principi fondamentali della implantologia, soprattutto italiana.
Recenti ricerche hanno evidenziato che il carico immediato e progressivo costituisce un formidabile contributo al successo e alla integrazione dell’impianto nell’osso ospite.
Nonostante 30 anni di filosofia Branemarkiana imperante, è una soddisfazione il ricordare che negli anni 2000 è stato riconosciuto dalla comunità scientifica contemporanea il valore essenziale del carico immediato degli impianti.
Sorprende tuttavia, che lo si voglia realizzare utilizzando una tecnica inadeguata al raggiungimento di questo risultato.
L’implantologia ufficiale pur avendo rinnegato l’imperativo categorico della scuola svedese ed americana di non caricare subito l’impianto ma di lasciarlo sommerso ed inattivo per diversi mesi (aspettando l’integrazione), non ha riconosciuto il merito della scuola italiana di aver posto correttamente il problema ancora negli anni sessanta del secolo scorso.
Non solo, essa pretende senza averne l’esperienza e rifiutando gli strumenti adeguati, di insegnare le tecniche del carico immediato anche a chi ha percorso con successo questa strada parecchi anni prima.
Essa va producendo delle linee guida sorprendenti che, se possono forse ( perchè hanno le periimplantiti e le mucositi) essere adatte all’uso di impianti dai volumi ragguardevoli, supertecnologici nelle loro parti costituenti e nella loro struttura macro e microscopica, sono limitative per la tecnica implantare della scuola italiana che utilizza impianti più snelli. Quester linee guida, quindi non possono essere adottate in tutte le tipologie di impianti.
Gli impianti della scuola italiana posseggono generalmente una struttura a monoblocco. Nell’ultimo corso ECM su Dental Cadmos cui abbiamno partecipato nel dicembre scorso, abbiamo letto con sorpresa che gli impianti postestrattivi immediati vanno incontro a deiscenze con frequenza molto elevata (fino al 64%): Prevalenza in letteratura dei DTM, deiscenze dei tessuti molli soprattutto quando vengono eseguiti impianti postestrattivi immediati. Autori di riferimento: Martina Stefanini, ricercatore DIBINEM Univ. Di Bologna, Giovanni Zucchelli prof.ordinario DIBINEM univ. Di Bologna in LA GESTIONE DEI TESSUTI MOLLI PERI-IMPLANTARI CORSO ECM PROVIDER: IMAGINE DEL 2020. A noi risultano dati differenti. Negli ultimi 33 anni di attività ricordiamo meno di dieci casi con deiscenze in zone periimplantari anteriori legate agli impianti di Tramonte. Con circa 5000 impianti inseriti. Produrremo appena possibile i dati di riferimento. Come mai?
|
Data Anno 1991 |
|
Ambulatorio: Cavriana della dott.ssa Bellini Maria Angela |
|
cognome e nome : Xxxxxxx Xxxxxx |
|
Età: anni 41 |
|
N° impianti esistenti : 0 |
|
Data e n°interventi già fatti: 0 |
|
Tipo di impianto: impianto di Tramonte |
|
N° impianti inseriti : 1 |
|
Saldatura: No |
|
Zona dentale: 46 |
|
App. Rx endorale: Vix Win Cavriana |
|
TAC: no |
|
Situazione estrattiva: impianto postestrattivo immediato e subito caricato |
|
Densità secondo Misch: D2 |
|
Antagonista elementi fissi naturali,implantari o protesi mobile: elementi naturali |
|
Spessore della mucosa spessa media sottile: media. |
|
Altezza di masticazione alta media bassa: media |
|
Bruxismo: No |
|
Foto |
|
Modelli: si |
|
Consenso/Informativa: si |
|
Privacy |
|
Operatore 1: Dr. Bazzoli F. |
|
Operatore 2: dr.ssa Bellini MA |
|
Sequenza frese: solo Lanceolata |
|
Sequenza maschiatori: maschiatore diametro 5 mm |
|
Carico occlusale: Immediato, leggermente scaricato. |
|
Descrizione intervento |
|
Complicanze: assenti - |
|
Dichiarazione di soddisfazione video o scritto: si |
Il Gambo, le spire, quanto osso asportare.
Questa è stata la via maestra battuta da una buona parte della scuola italiana: utilizzare viti di disegno analogo a quello utilizzato nelle viti da legno. Con questa tecnica, il maschiatore non asporta trucioli, ma intaglia l’osso, incidendolo e durante la penetrazione lo comprime leggermente, compattando il primo strato di osso più esterno. Esso contribuisce così ad aumentare la stabilità meccanica primaria; ovviamente lo spostamento delle trabecole strettamente contigue al maschiatore è consentito dalla presenza fisiologica degli spazi tra di esse. Unica fresa utilizzata nel 90% dei casi, la fresa lanceolata, come il maschiatore non asporta osso ma scendendo lo compatta sulla superficie esterna del tunnel implantare. Solo dei frustoli rimangono aderenti alla fresa quando viene ritirata.
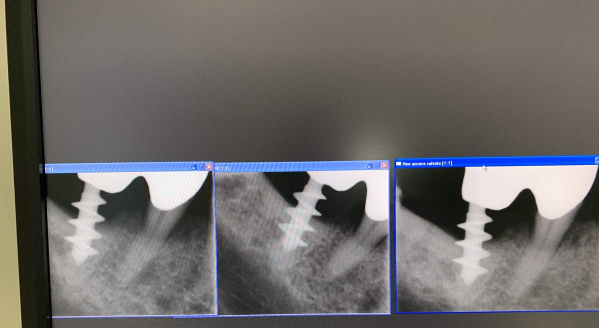
Forma originale dell’impianto di Tramonte. Diametro 5 mm a 3 spire. Gambo diam. 2,1 mm. Collo diam.2 mm x 5 mm di lunghezza. Titanio di grado 2. Il grado 2 consentiva al bisogno di piegare il collo dell’impianto per migliorare il parallelismo. Si tratta di un impianto postestrattivo immediato. Perciò nella stessa seduta estrazione, alesatura maschiatura ed inserimento dell’impianto. Subito seguiti da monconizzazione e da confezione di corone provvisorie in occlusione leggera. Le radiografie fornite evidenziano la situazione a partire dal 2010. La emergenza del collo sottile favorisce la formazione di un manicotto di gengiva densa che protegge dalle periimplantiti. Le spire larghe irradiano lontano dal corpo impianto il carico occlusale favorendo la formazione di un osso più omogeneo.
Bazzoli Francesco Bellini Maria Angela.
Ops!
Sembra che la versione di questo browser non sia supportata.
Puoi provare con uno dei seguenti browser
Chrome
Firefox
Edge
Safari
Opera