12 - RITUALITA' IMPLANTARI


PRELIMINARI

  • Aperta la TAC a video con le sezioni in cui si lavora. Rivalutazione di altezza, spessore, inclinazione, densità, particolari strutturali, spessore ed andamento delle corticali, andamento del canale mandibolare nella mandibola, sue dimensioni ed eventuali sdoppiamenti, andamento del pavimento del seno mascellare, del pavimento nasale, struttura del tuber ove necessario per il mascellare.
  • Aperta la Rx endorale per visualizzare la situazione di partenza, in particolare sottosquadri delle radici da estrarre, radiotrasparenze apicali, presenza di parodontopatie gravi, tenendo presente la frequenza di ripetizione degli episodi ascessuali se presenti. 
  • Foto del campo operatorio e dell’antagonista, mobile, fisso.
  • Sciacquo con clorexidina.
  • Ha preso l’antibiotico stamattina?
  • Paziente ben posizionato in poltrona con testa estesa.
  • Operatore che occupa la posizione ergonomica più idonea per seguire nel lavoro l’orientamento dell’osso.
  • Palpazione che confermi i dati tac riguardo a forma e andamento dell’osso, presenza di gengiva aderente, rapporti intermascellari e spazio occlusale residuo per confermare l’altezza del moncone.
  • Anestesia minima, puntata con peripress o con siringa diritta solo della zona operativa.
  • Estrazione dolce dell’elemento o della radice evitando traumi.
  • Curettaggio del fondo dell’ alveolo se necessario.
  • Rx della zona estratta.
  • Primo lavaggio con rifocin.

 

IMPLANTOLOGIA VERA E PROPRIA

  • Se non è postestrattivo e se esiste una corticale occlusale o una cresta stretta fresa al tungsteno per creare il  sito di ingresso.
  • Fresa lanceolata a bassa velocità.
  • Lavaggio con rifocin.
  • Quando necessario Rx con la fresa lanceolata inserita e presa della misura della lunghezza.
  • Foto della lunghezza della fresa con la radice ed un impianto come riferimento per stabilire le dimensioni implantari.
  • Se la densità dell’osso è apparsa consistente, maschiatura con maschiatore diam. 4.
  • Lavaggio con rifocin.
  • Rx della profondità raggiunta dal maschiatore.
  • Inserimento del maschiatore da 5 mm con valutazione del rischio di cavitazione
  • Maschiatura con maschiatore diametro 5 mm con valutazione del torque di inserimento ai vari livelli di profondità
  • Lavaggio con rifocin.
  • Scelta dell’impianto: diametro e numero delle spire.
  • Risterilizzazione dell’impianto nella sterilizzatrice a pallini di quarzo.
  • Inserimento dell’impianto con avvitatore manuale a cacciavite e/o con il cricchetto. L’inserimento deve essere dolce accertandosi che le spire si approfondiscano nel tunnel implantare.
  • Verificare che il collo implantare sia ben affondato.
  • Rx finale.

 

PARTE PROTESICA

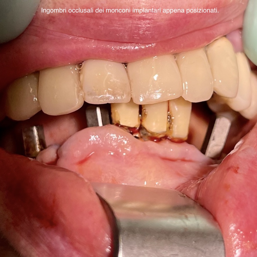
  • Monconizzare l’impianto parallelizzandolo con altri elementi naturali/implantari presenti. Lasciare adeguati spazi in occlusione.
  • Confezionare il provvisorio, rifinirlo, in gengivale, in vestibolo/linguale, in occlusione più forma delle cuspidi.
  • L’occlusione deve essere leggera, oppure scaricata leggermente, puntiforme con piano occlusale ridotto. Piano degli svincoli ridotto in altezza.
  • Se non esiste ritenzione primaria, provvedere alla ribasatura rifinendola e/o alla cementazione provvisoria del manufatto.
  • Durante le varie fasi documentare fotograficamente i momenti salienti.
  • Se la zona interessata era posteriore al 34/44 verificare i segni del ritorno alla sensibilità normale (vedi poi).

 

RACCOMANDAZIONI FINALI 

  • di terapia: antibiotica, antinfiammatoria, ghiaccio.
  • di alimentazione.
  • comportamento lavorativo.
  • Fissare nuovo appuntamento di controllo.
  • Registrare in cartella l’intervento e riportare tutti i dati salienti  nel Registro degli impianti.

 

Altri Aspetti Rituali della Implantologia contemporanea...

 

LA STERILITA’

Cosa usi per sterilizzare  i ferri? Autoclave di classe B, sterilizzatrice a pallini. Ultrasuoni, bagno dei ferri in soluzioni germicide? Tutte queste cose insieme?

Domanda non provocatoria:

Se ti cade per terra una leva o uno specchietto cosa fai? Lo restituisci al fornitore per fartelo sostituire sterile?

Ma se:

Se ti cade per terra l’impianto che pensi di utilizzare, che fai?.......

 

Altro problema: 

hai comprato 5 impianti di varie misure e lunghezze. 

Durante l’intervento ti rendi conto che non hai l’impianto adatto: te ne serve uno più corto perché sei troppo vicino al canale mandibolare. 

Cosa fai? Rimandi l’appuntamento e  l’intervento intanto che aspetti che il corriere più veloce ti faccia la consegna in tempi record? 

Ti contenti di un impianto meno performante se ce l’hai?

O accorci il tuo impianto!!!....

Sapendo come fare naturalmente.

Ma..è possibile accorciare o modificare l’impianto?

E quanto dura un impianto accorciato nei modi corretti?

 

Una risposta parziale la si può trovare nel caso clinico  seguente, di recente esecuzione.

Ops!
Sembra che la versione di questo browser non sia supportata.
Puoi provare con uno dei seguenti browser

Chrome

Firefox

Edge

Safari

Opera