6 - CONFRONTO TRA IMPLANTOLOGIA OSTEOINTEGRATA E IMPLANTOLOGIA DI SCUOLA ITALIANA.


Premessa.

L’impianto medio della scuola osteointegrata è un impianto di grosso volume ed esige la asportazione di grosse quantità di osso. L’impianto medio della scuola italiana è un impianto che può essere di grosso diametro, rispetto alla misura corrispondente della altra scuola, ma occupa un volume piccolo e pretende la asportazione di minime quantità di osso.

 

Procediamo al confronto.

Ci vuole un attimo di pazienza; i dettagli sono tanti e le scelte che si fanno hanno conseguenze importanti. 

NON SONO CHIACCHERE ed è un vero peccato che certi impianti vengano definiti osteointegrati anche se sono ancora contenuti nella confezione originale. Perchè forse si integreranno tutti o forse no, ma solo dopo essere stati inseriti e dopo un ragionevole lasso di tempo trascorso mentre il paziente li utilizza in condizioni normali. La battaglia per la osteointegrazione si conduce e si vince solo dopo con il passare di parecchi anni. Perchè, tra l’altro, l’osteointegrazione può non essere per sempre…….

 

CONSEGUENZE DURANTE LA FASE DI PROGETTAZIONE. 

 

L’impianto di grosso volume esige nella progettazione che si preveda di lasciare adeguati spazi di sicurezza rispetto a strutture anatomiche sensibili contigue: radici dentarie, corticali, fascicoli vascolo-nervosi, seni mascellari e nasali, a causa della necessità di asportare grossi volumi di osso. 

Esso perciò è utilizzabile solo con mandibole e mascellari di dimensioni adeguate nei tre piani, (osso di classe A della classificazione di Mish sull’osso disponibile.

Restano quindi esclusi tutti quei pazienti che,per vari motivi, sono meno dotati scheletricamente; essi dovranno affrontare un percorso ben più impegnativo sotto il profilo chirurgico, biologico, umano, economico. Perché ?

Come dice Mish nella classificazione dell’osso disponibile, nelle classi B e C è necessario  regolarizzare le zone di cresta più sottile con osteoplastiche estese anche  da sesto a sesto, nella edentulia totale, per recuperare zone superficiali atte a contenere impianti dal diametro adatto. 

Questa asportazione di osso indebolisce la struttura della mandibola; e sono proprio le corticali a lama di coltello della cresta che si oppongono maggiormente alla flessione della mandibola, e hanno densità maggiore ad essere interessate da queste manovre chirurgiche. 

Ma potrebbero e dovrebbero essere risparmiate ed utilizzate. Il che è quello che si fa con la tecnica della scuola italiana. Perché avendo i suoi impianti un collo di soli 2 mm di diametro accettano di essere inseriti senza bisogno di osteoplastiche.

In alternativa alla osteoplastica Misch prescrive aumenti di cresta per apposizione di osso da prelevare da sedi intraorali, extraorali, da banche deputate a raccogliere osso omologo ed eterologo, o con sostituti dell’osso naturali o di sintesi.

Sono necessari quindi interventi chirurgici prima dell’intervento implantare con propri tempi, modalità esecutive, rischi, complicanze ed esiti variabili da tenere in considerazione.

 

CONSEGUENZE DURANTE L’INSERIMENTO.

 

Per collocare un impianto ‘osteointegrato’ viene utilizzato di solito un set di frese di diametro e lunghezza crescenti. All’aumentare delle dimensioni della fresa aumenta il rischio di surriscaldamento dell’osso, con necessità di utilizzo di irrigazioni esterne o interne alla fresa, la cui efficacia è variabile; sono necessari inoltre continui vai e vieni per minimizzare questo surriscaldamento e per liberare la fresa dai trucioli d’osso.

 

Procedendo alle velocità consigliate tra i 400 e i 600 giri\minuto, ma accade anche a velocità nettamente inferiori, si manifesta l’effetto giroscopico che, in assenza di una più che buona stabilità del capo del paziente e della mano dell’operatore, o se c’è un pur minima variazione nella inclinazione della fresa, provoca improvvisi spostamenti della fresa stessa  con conseguenti rischi di danni alle strutture vicine. 

Per questo è consigliato sempre lo scollamento delle mucose e del periostio.

Al contrario con un impianto di Tramonte il lembo non è previsto tranne in casi eccezionali.

 Torniamo alla tecnica ‘osteointegrata’.

La dimensione e la profondità finale del neoalveolo vengono raggiunte in fasi successive, inserendo frese di diametro crescente e con stop a profondità progressive.

E’ quasi imperativo procedere utilizzando delle dime chirurgiche; esse oltre a guidare l’inserimento secondo la logica della chirurgia guidata protesicamente, provvedono a ridurre in modo significativo gli sbandieramenti improvvisi delle frese.

 La fissità e la precisione degli ancoraggi della dima, sono imprescindibili, e complicano la indaginosità dell’intervento per la presenza dei lembi scollati. Spesso una dima chirurgica non ben fissa o non ben posizionata ha determinato errate perforazioni con conseguenti complicazioni a carico della zona impiantata. 

Una ridotta apertura della rima buccale riduce le possibilità di intervenire nelle zone posteriori. 

Una perforazione della corticale vestibolare o linguale  rende imprescindibile l’utilizzo di membrane riparative con esiti da verificare nel tempo. 

Fresare in queste condizioni rasente a una radice, ad una arteria , ad una vena o peggio ad un tronco nervoso, provoca grossi danni ed è assolutamente da evitare. Infatti le linee guida indicano in 2 mm. la distanza dalle strutture sensibili vicine.

L’azione di una fresa elicoidale possiede  un effetto a cavatappi e gli operatori più imprudenti possono trovarsi col nervo alveolare inferiore attorcigliato alla fresa che lo ha strappato dalla sua sede e conseguente causa penale e civile di risarcimento dei danni.

Così la perforazione delle corticali linguali può indurre la lacerazione di vasi del pavimento buccale con stravasi che anche se non importanti sono comunque ben visibili e fastidiosi. 

Allo stesso modo il parodonto del dente contiguo può essere lacerato in modo importante con conseguenze immaginabili. Se non esiste un lembo mucoperiosteo, in caso di perforazione delle corticale vestibolare o linguale\palatale,  il danno può trasportare cellule connettivali nel contesto osseo, il che può provocare durante la fase riparativa la perdita della cosiddetta osteointegrazione. 

Allo stesso modo la fresa può lacerare la membrana di Schneider provocando una manovra di Valsalva positiva e problemi sinusali.

Per tutti questi motivi utilizzare solo frese a piccolo diametro è altamente preferibile e sicuro.

 

CONSEGUENZE DURANTE E DOPO LA GUARIGIONE

Quanto osso sacrificare....

 

 Non si può dimenticare secondo quanto riferisce il dott. Misch e in altra sede il dott. Chiapasco, che un volume di 1mm di osso circostante la perforazione va incontro a necrosi nelle settimane seguenti, rendendo obbligatorio la messa a riposo dell’impianto in attesa della ricostruzione ossea, visto la perdita della stabilità meccanica iniziale, dopo le prime due settimane.

A pag. 234 del suo libro Misch recita:’ Come mostrato nella fig. 17.18, circa un millimetro di osso compatto vicino alla ferita muore dopo l’intervento, indipendentemente dalla qualità delle tecniche chirurgiche utilizzate. 

 Facciamo il conto della serva.

Calcoliamo il volume osseo che è necessario sacrificare per poter inserire un impianto ‘osteointegrato’ (sic!). Per un impianto di 5mm. di diametro e una lunghezza di 15 mm. il  volume di osso perso o danneggiato è pari a oltre 500 mm. cubi. ( in effetti considerando la zona che va in necrosi intorno all’impianto il diametro da considerare è di ben 7 mm.; perciò: 3,5 x 3,5 x 3,14 x 15 = 576,9 mm cubi ). 

Ciò è grave anche perché già di suo il paziente si presenta con deficit ossei talora importanti, cui il chirurgo dovrebbe ovviare.

Nella tecnica di Tramonte, al contrario il più delle volte è sufficiente la fresa lanceolata per inserire un impianto con perdite di osso insignificanti. La fresa lanceolata infatti scendendo compatta i frustoli di osso sulla parete esterna del tunnel che si va creando e sfilando la fresa solo poche frustali aderiscono ad essa.

E’ inutile perciò che il chirurgo che utilizza gli impianti sepolti affermi che l’osso manca e che quindi è necessario ricorrere ad un innesto, magari prelevandolo dalla teca cranica, visto che questa sede ha il  gold standard di successi.

Limitare le osteoplastiche e gli scollamenti non imprescindibili significa rispettare il paziente.

La futura salute implantare è legata alla forma dell’impianto e al rispetto di queste regole.

La struttura dell’osso ed il suo nutrimento.

 E’opportuno ricordare in questa sede che le maglie intrecciate dei canali di Havers e dei canali di Wolkmann non costituiscono solo elementi di nutrizione e  crescita, trofismo e rimodellamento.

Essi sono anche costituenti strutturali  essenziali dell’osso e ne garantiscono la funzionalità dell’apparato relativo attraverso la robustezza, la leggerezza e la elasticità.

Immaginiamo per un attimo questa rete tridimensionale e pensiamo in quanti punti dobbiamo interrompere queste maglie per poter inserire un impianto.

 E’intuitivo che ridurre al minimo il numero delle maglie interrotte permette ai processi di guarigione di essere più rapidi e alla struttura della mandibola o del mascellare di indebolirsi il meno possibile conservando la sua capacità di assorbire i carichi masticatori al meglio.

 Considerare questi aspetti del problema è importante perché le mandibole destinatarie di questi interventi sono il più delle volte già riassorbite in grado variabile, nello spessore, nella altezza, nella larghezza, nella angolazione tra piano occlusale e corpo implantare, nel rapporto corona impianto e ovviamente nella densità dell’osso, come ci racconta giustamente Mish.

 

Ma la presenza di un lembo separa i tessuti che forniscono nutrimento alle cellule osteoblastiche dalla superficie esterna dell’osso corticale.

La sezione delle arterie perforanti  comporta necrosi degli osteociti dell’osso con conseguente ulteriore ipotrofia dell’osso stesso e allungamento dei tempi di guarigione. (Si perde ancora l’8% dei mascellari coinvolti).

Queste osservazioni non sono gratuite e considero molto opportuno tenerle nel dovuto conto.

In un periodo storico in cui tutti gli interventi si fanno mini-invasivi, l’odontoiatria contemporanea si pregia di tecniche ancora molto  cruente come per sottolineare la propria dignità chirurgica rispetto a specialità più nobili.

Ma i nostri pazienti non ne hanno bisogno e non le cercano, anche perchè la loro età e le loro condizioni diventano via via più fragili.

 

 

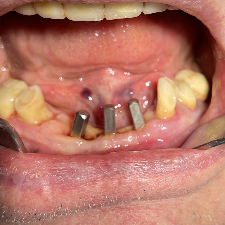
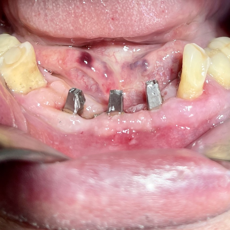
CASO CLINICO : Riabilitazione del 28/04/2021

 

In particolare considero notevoli i seguenti aspetti: 

  • 1 età del paziente. 83 anni
  • 2 esecuzione dei primi 6 impianti: 25 anni fa
  • 3 esecuzione dei 5 impianti successivi: 14 anni fa
  • 4 medicinali assunti dal paziente: nessuno
  • 5 presenza di impianti in zona tuber/pterigoidea
  • 6 presenza di impianti inclinati di antica data
  • 7 presenza di impianto piegato in 25. (Per parallelizzarlo)
  • 8 presenza di due miniimpianti in 11-12
  • 9 presenza di barra saldata nel settore superiore
  • 10 grave parodontopatia del settore inferiore
  • 11 problematiche igieniche
  • 12 insuccesso implantare di impianto di Tramonte inferiore, impianto precedente al 2004, nel quadro della generale parodontopatia
  • 13 l’inserimento dei tre impianti non ha comportato innesti di osso o di tessuti connettivali.
  • 14 Non ha reso necessari scollamenti
  • 15 Non è stata necessario isolare le emergenze dei nervi alveolari inferiori
  • 16 Trattandosi di osso ad elevata densità si è ricorsi alla fresa elicoidale, strumento raramente utilizzato da noi perchè non necessario e perchè ci sono zone in cui il suo utilizzo comporta rischi chirurgici per noi non accettabili. Inoltre questa fresa asporta quantità discrete di osso che preferiamo resti dove la natura lo ha messo. Interessante il fatto che il diametro della fresa è di solo 2 mm
  • 17 Trattandosi di osso denso, gli impianti utilizzati avevano un diametro di soli 4 mm dopo maschiatura col corrispondente maschiatore.
  • 18 Al controllo del 3/5/2021 il paziente non è gonfio e riferisce che mangia finalmente bene.
  • 19 Inizio intervento implantare alle 8.45. fine intervento implantare alle 9.36.
  • 20 Cementazione del provvisorio, confezionato al momento, ultimata alle 10.30. durata totale permanenza del paziente in ambulatorio1,45 ore. 

 

Le immagini forniscono nelle didascalie ulteriori informazioni.

 

Ops!
Sembra che la versione di questo browser non sia supportata.
Puoi provare con uno dei seguenti browser

Chrome

Firefox

Edge

Safari

Opera