OSTEOINTEGRAZIONE: TEMPI, MODALITA', DURATA
La integrazione o osteointegrazione, che dir si voglia, non è per sempre ma l’organismo la rimette quotidianamente in discussione.
Chiarissimo ed esauriente Misch descrive qualcosa che non è un quadro statico ma un film vero e proprio.A pag. 235 paragrafo:interfaccia osso-impianto osserva:
- l’osso corticale umano delle diafisi di ossa lunghe e della costola si rimodella con una percentuale variabile dal 2% al 10% all’anno..........
- L’osso corticale che sorregge i denti può avere essenzialmente una velocità di rimodellazione maggiore; (30-40% all’anno).
- Come mostrato in figura 17.9 l’osso corticale attorno a un impianto endoosseo continua a rimodellarsi. Il mantenimento a lungo termine della rigida fissazione ossea coinvolge una velocità di rimodellamento di circa il 500% all’anno dell’osso immediatamente adiacente entro 1mm all’impianto. (da Roberts WE London 1993 Quintessence – Osteointegrazione in riabilitazione orale). Chiapasco riferisce percentuali analoghe e gli stessi valori ci sono stati ripetuti in università.
Altro che osteointegrato!
Le più recenti ricerche ci indicano che c’è un equilibrio instabile che il nostro osso ci garantisce nel tempo al prezzo di una sostituzione veloce e incessante delle strutture portanti l’impianto.
Queste velocità di ricrescita sono inquietanti, pensando a tessuti patologici in cui questa caratteristica è espressa al massimo grado come le neoplasie.
Dobbiamo perciò essere grati al nostro caro osso normale di riuscire a tenere testa ai carichi masticatori utilizzando strutture a lui straniere, metalli soltanto compatibili, senza la dotazione fornitaci da madre natura: il parodonto, lo splendido scudo antibatterico che permette lo scarico indolore delle forze a lui trasmesse. Il sigillo biologico.
A pag. 249 Misch, parlando di sigillo biologico e in particolare della deformazione cui gli emidesmosomi vengono sottoposti dice .....’si può sostenere che un moncone implantare di grande diametro sarà più portato a subire violazioni di questo sigillo ad opera degli stiramenti tissutali rispetto ad un moncone di diametro più piccolo. Clinicamente si osserva raramente lo stiramento del tessuto attorno ai monconi di piccolo diametro, non importa se su impianti cilindrici, o a lama, e nella maggior parte degli impianti subperiostali, mentre è un reperto abbastanza comune attorno ai monconi di diametro più grande.’
Queste considerazioni ripetute in altre parti del libro, mettono in luce che Misch conosce il vantaggio derivante dall’uso di colli implantari di piccolo diametro in alternativa a quelli di grande diametro nel contrastare mucositi, periimplantiti riassorbimenti e infezioni dell’osso.
Ciò nonostante ha optato per il secondo tipo di impianti, attribuendo il danno crestale più a fattori batterici e a stress occlusali.
Egli secondo noi non ha considerato abbastanza il contributo peggiorativo dovuto al disegno dell’impianto stesso nel suo volume complessivo, nella lunghezza del suo collo, nelle dimensioni e nel passo delle sue spire, nei suoi spazi interni, nella sua rugosità superficiale.
|
Data 11\12\2019 |
Ambulatorio Carpenedolo |
|
cognome e nome Xxxxxx Xxxxxx |
Età 55 |
|
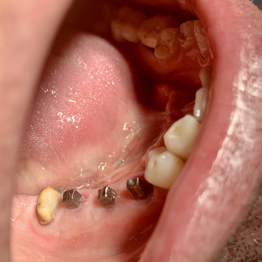
N° impianti esistenti 1 |
Data e n°interventi già fatti: ottobre 2015 in 25 |
|
Tipo di impianto : Tramonte |
N° impianti inseriti: 3 |
|
Saldatura no |
Zona dentale: 45 46 47 |
|
App. Rx endorale CDR Carpenedolo |
TAC: Si Acquafredda |
|
Situazione estrattiva Pexist in 45 e nopex in 46 e 47 |
Densità secondo Misch: 2 |
|
Antagonista elementi naturali,impl/protesi mobile: ponte su denti e impianti. |
Spessore della mucosa spessa media sottil: medio |
|
Altezza di masticazione alta media bassa Bassa |
Bruxismo con serramento |
|
Foto : Iphone Xs |
Modelli: si |
|
Consenso/Informativa: si |
Privacy: si |
|
Operatore 1: dr. Bazzoli f |
Operatore 2: — |
|
Sequenza frese: solo lanceolata |
Sequenza maschiatori: maschiatore diametro 5 mm |
|
Carico occlusale: leggermente scaricato confezionato dopo due giorni. |
|
|
Descrizione intervento |
|
|
Complicanze: nessuna |
Dichiarazione di soddisfazione video o scritto: prersente |
Ops!
Sembra che la versione di questo browser non sia supportata.
Puoi provare con uno dei seguenti browser
Chrome
Firefox
Edge
Safari
Opera