2 - ESTETICA E FUNZIONE NELL'IMPLANTOLOGIA UMANA


Strano ma è una questione di filosofia.

Se l’uomo possieda la perfezione estetica e funzionale e se queste durino tutta la vita.

E inoltre se le cure mediche e odontoiatriche siano tenute per legge a restituire al paziente la perfezione estetica e funzionale; e che durino inalterate per il resto dei suoi giorni. Perchè questo pretendono i ‘periti’ oggi. Spero di condividere l pensieri che seguono con i medici ed odontoiatri che praticano l’implantologia di scuola italiana. E non solo. 

 

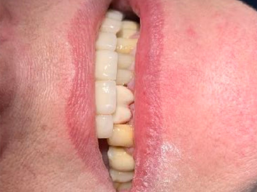
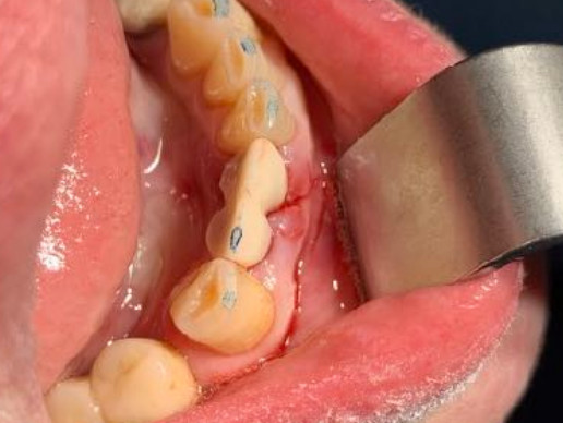
Non esistono bocche perfette, non ci sono organismi perfetti. Come medici/odontoiatri possiamo solo augurarci di incontrare bocche normali, anche se molto spesso non è così. E con il passare degli anni è più facile perdere salute e normalità piuttosto che trovarle. Consumiamo lo smalto, si abbassano le gengive, si approfondano le tasche, si cariano le corone.

 

A volte le consumiamo noi stessi col serramento, col bruxismo o perché le spazzoliamo con troppa energia. Perdiamo in seguito i denti per varie cause e così si abbassa il livello dell’osso. E alla fine perdiamo la vita stessa. Quante volte siamo stati o ci siamo sentiti perfetti? E allora.... Sorrido con amarezza ogni volta che sento colleghi cattedratici declamare il ritorno alla perfezione estetica e funzionale del sorriso dei loro pazienti. Noi no! Noi non crediamo a questa dichiarazioni false e ingannevoli. E non crediamo neppure che a questo siamo tenuti legalmente.

 

Data

3 dic 2020

Ambulatorio

Guidizzolo

Cognome e nome

XXXXXXXXXXXXXX

Età

66 anni

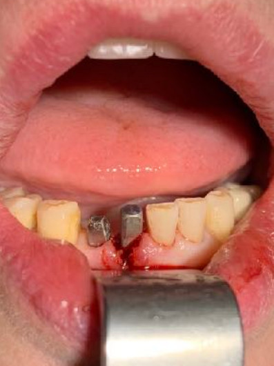
N.impianti esistenti

4

Data e n.interventi già fatti:

Vari (vedi nota)

   

Tipo di impianto

Tramonte

N.impianti inseriti

1

Saldatura

No

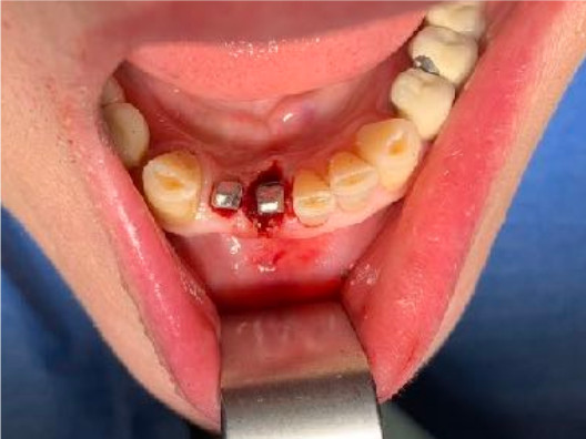
Zona dentale

41

App.Rx endorale

VixWin Guidizzolo

Tac

presente

Situaz.estrattiva

postestrattivo immediato

Densità secondo Misch

D2

Antagonista(fissi,mobili)

ponte su impianti

Spessore mucosa

media

Altezza masticazione

media

Bruxismo

no

Foto

Iphone XS

Modelli

Si

Consenso/informativa

Si

Privacy

Si

Operatore 1

Dr.ssa Bellini

Operatore 2

Dr. Bazzoli F

Sequenza frese

solo lanceolata

Sequenza maschiatori

No maschiatore

Carico occlusale

Immediato in leggera occlusione

Complicanze

nessuna

   

 

*Nota

 

Noi crediamo che sia indispensabile riportare ad una funzionalità normale la bocca dei nostri pazienti. E l’estetica solo per quanto è possibile: appunto al meglio. Anche i nostri pazienti lo sanno. Nonostante l’apparire giovani sani e belli sia il target della nostra società. In primis la funzione! Abbandonato l’inutile e falso obiettivo della perfezione estetica possiamo cominciare ad avere rispetto della integrità e delle buone qualità residue dell’apparato masticatorio del nostro paziente. Usando e rispettando il suo osso dove è presente. Senza devastarlo con inutili scollamenti, dissezioni per regolarizzare la cresta, atrofie indotte da lunghe attese di guarigione. Ad esse seguono perforazioni inutilmente estese con ulteriori perdite di osso, coronate poi da impianti che debbo riconoscere sono molto ben reclamizzati ed in costante evoluzione. A meno che poi il collega sospirando dichiari che l’osso manca e che bisogna fare un innesto. E la via crucis ricomincia... Mi scuso per lo sfogo. Gli impianti che uso sono praticamente identici al modello creato nel 1963 dal dott. Tramonte Stefano. E i miei pazienti si trovano così bene che io considero l’impianto di TRAMONTE pari almeno ai migliori prodotti del mercato, senza averne i difetti. Mi spiegherò meglio più avanti. Nelle prossime news.

 

Bazzoli Francesco

Ops!
Sembra che la versione di questo browser non sia supportata.
Puoi provare con uno dei seguenti browser

Chrome

Firefox

Edge

Safari

Opera