L’osso anteriore della mandibola è notoriamente un osso robusto adatto a sopportare carichi masticatori importanti. Le valutazioni preimplantari prevedono esame TAC cone beam presso il ns ambulatorio di Acquafredda, per i casi più complessi. In ogni caso si valuta con la palpazione andamento, altezza, spessore e inclinazione dell’osso, tenendo presente la classe dentale è la eventuale versione linguale dei denti anteriori. Durante l’inserimento si valuta invece la densità mentre la fresa lanceolata si affonda a bassa velocità.
La codifica della densità è quella adottata da Carl Misch e va da un massimo di D1 ad un minimo di D5 per l’osso meno consistente.Il valore della densità trova conferma nel torque presente al momento della maschiatura. Con valori di torque elevato è opportuno scegliere maschiatore ed impianto di diametro minori, ad esempio diametro 4 mm. Con valori di torque via via più basso è opportuno aumentare il diametro dell’impianto compatibilmente con lo spessore tra le corticali. Ricordo che a differenza di sistematiche implantari correnti il valore del collo emergente dell’impianto di Tramonte è sempre e soltanto di mm 2 anche quando il diametro complessivo è di mm 6 o 7 o addirittura mm 8 o 10.
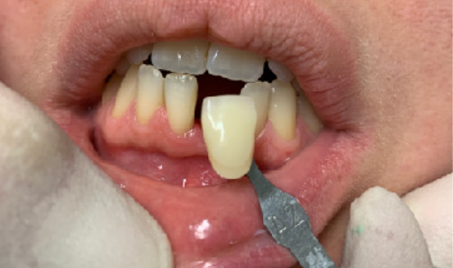
Il diametro ridotto del collo consente di mettersi al riparo da eventuali periimplantiti e migliora nettamente la velocità della guarigione. In questo caso è stato maschiato con un diametro 4 ed è stato inserito un impianto di Tramonte diametro 4 mm a 7 spire a collo corto . Il titanio utilizzato è sempre di grado 4.
| Data: 3 dic 2020 | Ambulatorio: Guidizzolo |
| Cognome e nome: | Età: 32 anni |
| N° impianti esistenti: 0 | Data e n°interventi già fatti: nessuno |
| Tipo di impianto : Tramonte | N° impianti inseriti: 1 |
| Saldatura : No | Zona dentale: incisivo inferiore 31 |
| App. Rx endorale: rx Vix-Win Guidizzolo | TAC: no |
| Situazione estrattiva: Impianto postestrattivo immediato a carico immediato. | Densità secondo Misch: D2 |
| Antagonista elementi fissi naturali,implantari o protesi mobile: elementi naturali | Spessore della mucosa spessa media sottil: media |
| Altezza di masticazione alta media bassa: media | Bruxismo: no |
| Foto: iPhone XS | Modelli: si |
| Consenso/Informativa: si | Privacy: si |
| Operatore 1: Dr.ssa Bellini MA | Operatore 2: dr. Bazzoli F |
| Sequenza frese: Solo fresa lanceolata | Sequenza maschiatori: maschiatore diametro 4 mm |
| Carico occlusale: immediato leggero. | |
| Descrizione intervento | |
| Complicanze: nessuna | Dichiarazione di soddisfazione video o scritto |
Nelle prossime news mi propongo di illustrare la tecnica della scuola italiana di implantologia che è multiforme. In particolare cercherò di mostrare in dettaglio una delle sue metodiche più conosciute: quella che ci è stata insegnata per la prima volta dal Dr. Stefano Tramonte che l’ha adottata fin dagli anni 60 del secolo scorso, usando tra i primi a livello mondiale il titanio come materiale costituente l’impianto. Ho avuto la fortuna di apprenderla dalla sua viva voce in uno dei congressi del GISI a Bologna nel 1987. Anche Branemark ha cominciato ad usare il titanio per i suoi impianti negli anni 60, pur con forme e modalità completamente diversi da quelli usati allora in Italia. Ricordo gli altri padri della implantologia italiana: il prof. Pasqualini, il dr. Garbaccio, il dr. Mondani, il prof. Muratori, il dr. Pierazzini, i cultori della implantologia iuxtaossea, della implantologia ad aghi, della implantologia a lama. All’ estero il dr. Linkow, il dr. Carl Misch e i molti altri che sono stati i padri fondatori della implantologia.
Bazzoli Francesco
Ops!
Sembra che la versione di questo browser non sia supportata.
Puoi provare con uno dei seguenti browser
Chrome
Firefox
Edge
Safari
Opera