3 - FORMA DEGLI IMPIANTI E DENSITÀ DELL'OSSO


News n. 3 07/12/2020 Carl E. Mish USA nel suo: ‘l’odontoiatria implantare contemporanea’ ediz. italiana 2000, pag.113 paragrafo:densità ossea – determinazione tattile – afferma:’ Per dare una chiara idea della sensazione tattile legata alle diverse densità ossee, ci si riferirà a materiali di densità corrispondenti. Quando si trapana osso D1, sembra di trapanare legno di quercia o di acero; quando si trapana osso D2, sembra di trapanare pino o abete. Quando invece, si trapana osso D3, sembra di trapanare legno di balsa, mentre infine, con l’osso D4 sembra di forare polistirolo. Questa classificazione che ritorna in tutta l’opera di Misch ha avuto fortuna ed è utilizzata in tutto il mondo. Tuttavia dopo queste similitudini perchè Misch, invece di usare frese e maschiatori per il legno, usa frese, maschiatori ed impianti con filetti per il ferro? Il ferro possiede una densità incomparabilmente più elevata di qualunque tipo di legno. Il lettore minimamente esperto sa riconoscere una vite del ferro e distinguerla da una vite del legno e dovrebbe conoscere la loro tenuta nei rispettivi materiali. Una vite da ferro possiede gambo e filetto inadatti a svolgere la loro funzione nel legno. Lavora male. Saggiamente quaranta anni prima il dr. Tramonte Stefano ITALIA ha dotato il suo impianto di una forma analoga a quella delle viti da legno. Gli ingegneri e gli artigiani sogghignano quando pongo loro il quesito: data la densità del materiale (osso), che filetto scegli? Adesso però entriamo nel dettaglio perchè le caratteristiche delle varie parti della forma implantare e i vantaggi che offre sono parecchi e non si può sottacerli o fingere che non esistano perchè hanno conseguenze molteplici e di lunga durata appunto. CARATTERISTICHE MERCEOLOGICHE DELL’IMPIANTO DI TRAMONTE che è in unico pezzo.

1- il gambo

2- il collo

3- le dimensioni la forma e lo spessore delle spire

4- il passo delle spire

5- il moncone

6- il grado del titanio.

7- la finitura della lavorazione.

 

Data    10/07/2020                                                                                                                 

Ambulatorio   Acquafredda

cognome e nome        Xxxxxxx  Xxxxxx                                                                                         

 Età  70 anni

N° impianti esistenti     6 inferiori e 10 superiori                                                                                        

Data e n°interventi già fatti: prima del 2008 2 impianti. 10/2008: 1 impianto in 12. 07/2009: 2 impianti in 21 e 11. 11/2009: 4 impianti in 23,24,25,26. 05/2010: 1 impianto in 22. 07/2010: 2 impianti in 14,14. 08/2012: 2 impianti in 31,32. 05/2019: 2 impianti in 34,36.

Tipo di impianto : Tramonte                                                                                                                                   

 N° impianti inseriti : 2

Saldatura   No                                                                                                          

Zona dentale 33,43

App. Rx endorale    Vixwin Acquafredda                                                                                           

 TAC sì

Situazione estrattiva: impianti postestrattivi immediati                                                                                           

 Densità secondo Misch: D2

Antagonista elementi fissi naturali,implantari o protesi mobile: ponti su impianti.                          

Spessore della mucosa spessa media sottile: media

Altezza di masticazione alta media bassa : media                                                         

 Bruxismo: no. Morso profondo

Foto: iPhone XS                                                                                                                  

 Modelli: sì

Consenso/Informativa: si                                                                                    

 Privacy: si

Operatore 1   dr. Bazzoli F.                                                                                                    

Operatore 2 Dott.ssa Bellini Maria Angela

Sequenza frese: solo lanceolata                                                                                           

Sequenza maschiatori: no maschiatori

Carico occlusale e protesizzazione immediata. Carico bilanciato.                                                                                               

 

Descrizione intervento:  Inizio intervento ore 9.00. Fine ore 11.45. NB intervento in anestesia generale richiesto dal paziente.

 

Complicanze    Nessuna                                                                                                   -  

Dichiarazione di soddisfazione video o scritto

                                                                                                                

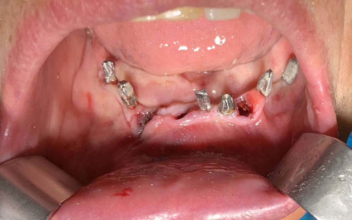
Come risulta dall’Estratto del Registro cronologico degli impianti su esposto il paziente si è sottoposto numerose volte ad interventi implantari,affrontando problemi settoriali mano a mano si presentavano. Tutti gli impianti sono convissuti sempre con elementi naturali che presentavano quadri variabili di parodontopatia. Mi sembra notevole questa situazione che viene da me riscontrata in moltissimi altri pazienti con casi di impianti che convivono con elementi naturali parodontopatici senza risentire delle infezioni, se la confrontiamo con le statistiche riportate dalla implantologia ‘osteointegrata’ ufficiale. Attribuisco questa felice condizione alla particolare forma nella zona di emergenza degli impianti di Tramonte. Essi sono dotati di collo lungo e sottile. Ciò garantisce la presenza di un manicotto di gengiva aderente molto stretto, inibendo di fatto la penetrazione dei batteri. Inoltre, non essendo costruito in più parti, (perchè è un monoblocco) non presenta cavità interne che quando sono colonizzate dai batteri costituiscono dei serbatoi molto efficaci nel perpetuare una condizione infettiva ed infiammatoria. Questa volta il paziente ha voluto affrontare l’intervento in anestesia generale, effettuato presso il nostro ambulatorio in Acquafredda con anestesista di lunga esperienza attrezzato. Il secondo aspetto strettamente dipendente dalla storia implantare del paziente è stata la presenza di disparallelismi corretti a fine intervento prima di protesizzarlo con circolare provvisorio a fine seduta alle 11.45. gli impianti appaiono tutti solidi e senza segni di periimplantite evidente o di infiammazioni della mucosa. Si comprende ora che è un ben piccolo sacrificio non raggiungere la perfezione estetica perchè si salvaguarda la funzione nel lungo periodo. E’ inutile ricordare che si tratta pur sempre di protesi e nella zona di raccordo tra protesi e superficie del corpo la perfezione estetica è solo una pia illusione.

 

Bazzoli Francesco/Bellini Maria Angela.

Ops!
Sembra che la versione di questo browser non sia supportata.
Puoi provare con uno dei seguenti browser

Chrome

Firefox

Edge

Safari

Opera