12 - IMPLANT RITUALITIES

11 - CONDITIONS OF STERILITY

Sterile surgery, clean contaminated surgery

7 - BONE GRAFTS

Attachment to the News n.7 25/12/2020

8 - POSITIONING TIMING: PERFORATION OF THE CORTICALS

News n. 8 29/01/2021

9 - THE REMODELING OF THE BONE

News n. 9 - 10/02/2021 : "Osseointegration: times, modalities and duration"

10 - MECHANICAL ASPECTS: THIKNESSES AND FRACTURES, TORQUE AND CAVITATION

6 - COMPARISON BETWEEN OSSEOINTEGRATED IMPLANTOLOGY AND ITALIAN SCHOOL IMPLANTOLOGY

CONSEQUENCES OF THE DIFFERENT OPERATION BETWEEN THE TWO METHODS: During the design, during insertion, during healing and after healing.

5 - LONGEVITY OF THE IMPLANTS

Immediate loading of the implants

4 - TRAMONTE IMPLANT IN ADVANCED AGE

A patient with Tramonte implants for 28 years needs more implants, but is now almost 90 years old and takes a lot of medicines.

3 - SHAPE OF THE IMPLANTS AND BONE DENSITY

That is: why the Tramonte implant is so good. 1st reason: shape suitable for the structure.

2 - AESTETICS AND FUNCTION IN HUMAN IMPLANTOLOGY

ABOUT AESTETIC PERFECTION...

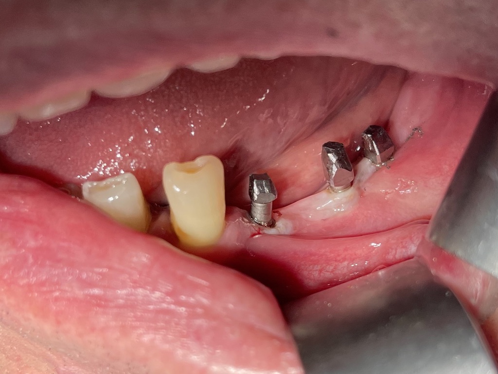
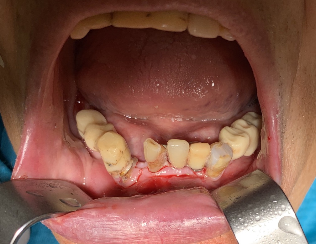
1 - AN INCISIVE CASE

Fracture of lower incisor element 31 and implant rehabilitation

Ops!
Sembra che la versione di questo browser non sia supportata.
Puoi provare con uno dei seguenti browser

Chrome

Firefox

Edge

Safari

Opera