Strange but it is a question of philosophy.
Whether man possesses aesthetic and functional perfection and if these last a lifetime.
And furthermore whether medical and dental treatments are required by law to restore aesthetic and functional perfection to the patient; and that they last unaltered for the rest of his/her days. Because this is what the 'experts' claim today. I hope to share the following thoughts with doctors and dentists who practice implantology according to the Italian school. And not only.
There are no perfect mouths, there are no perfect organisms. As doctors / dentists we can only hope to meet normal mouths, although very often this is not the case. And as the years go by it is easier to lose health and normality than to find them.
We consume the enamel, the gums are lowered, the pockets are deepened, the crowns become decayed. Sometimes we consume them ourselves with window frames, with bruxism or because we brush them with too much energy. We later lose our teeth for various causes and thus the bone level gets lowered. And in the end we lose life itself. How many times have we been or have we felt perfect? So.... I smile bitterly every time I hear academic colleagues declaiming the return to aesthetic and functional perfection of their patients' smiles. We do not! We do not believe these false and misleading claims. Nor do we believe that we are legally bound to this.
| Date: 3 dic 2020 | Clinic: Guidizzolo |
| Surname and name: XXXXXXXXXXXXXX | Age: 66 years old |
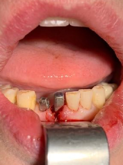
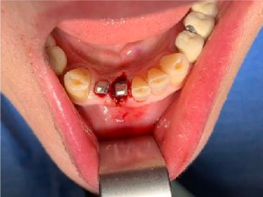
| N ° existing implants: 4 | Date and number of interventions already made: 06/2012 2 implants, 10/2012 1 implant, 03/2019 1 implant |
| Type of implant : Tramonte | N ° implants inserted: 1 |
| Welding: No | Dental area: 41 |
| Intraoral x-ray app: Guidizzolo Intraoral Rx App | CT scan: present |
| Extractive situation: Immediate post-extraction | Density according to Misch: D2 |
| Antagonist of natural fixed elements, implants or mobile prostheses: on implants | Thick mucosa thickness medium thin: medium |
| Chewing height (high/medium/low): medium | Bruxism: no |
| Photo: iPhone XS | Models: yes |
| Consent / Information: yes | Privacy: yes |
| Operator 1: Dr. Bellini | Operator 2: Dr. Bazzoli F |
| Drill sequence: only lanceolate | Sequence of taps: No tap |
| Occlusal loading: immediate light | |
| Description of the intervention | |
| Complications: none | Video or written statement of satisfaction |
| Data | Ambulatorio | Cognome e nome | Età |
| N.impianti esistenti | Data e n.interventi già fatti | ||
| Tipo di impianto | N.impianti inseriti | Saldatura | Zona dentale |
| App.Rx endorale | Tac | Situaz.estrattiva | Densità secondo Misch |
| Antagonista(fissi,mobili,naturali,implantari | Spessore mucosa | Altezza masticazione. | Bruxismo |
| Foto | Modelli | Consenso/informativa | Privacy |
| Operatore 1 | Operatore2 | Sequenza frese | Sequenza maschiatori |
| Sequenza frese | Sequenza maschiatori | Carico occlusale | Complicanze |
We believe that it is essential to restore normal functionality to the mouth of our patients. And aesthetics only as far as possible: precisely at best. Our patients know this too. Despite looking healthy and beautiful young people is the target of our society. First of all the function! Having abandoned the useless and false goal of aesthetic perfection, we can begin to have respect for the integrity and good residual qualities of our patient's chewing system. Using and respecting his bone where it is present. Without devastating it with unnecessary detachments, dissections to regularize the ridge, atrophies induced by long waiting times for healing. These are followed by unnecessarily extensive perforations with further bone losses, crowned by implants that I must recognize are very well advertised and in constant evolution. Unless the colleague then sighs and declares that the bone is missing and that a graft must be done. And the way of the cross begins again ... I apologize for the outburst. The implants I use are practically identical to the model created in 1963 by Dr. Tramonte Stefano. And my patients feel so happy that I consider the TRAMONTE implant to be at least equal to the best products on the market, without having the defects. I will explain more later. In the next news.
Bazzoli Francesco
Ops!
Sembra che la versione di questo browser non sia supportata.
Puoi provare con uno dei seguenti browser
Chrome
Firefox
Edge
Safari
Opera