The anterior bone of the jaw is notoriously a robust bone suitable for withstanding heavy chewing loads. Pre-implant evaluations include cone beam CT examination at our clinic in Acquafredda, for the most complex cases. In any case, the trend, height, thickness and inclination of the bone is evaluated by palpation, bearing in mind the dental class and the possible lingual version of the anterior teeth. On the other hand, during insertion, the density is evaluated while the lanceolate cutter sinks at low speed.
The density coding is the one adopted by Carl Misch and ranges from a maximum of D1 to a minimum of D5 for the least consistent bone. The density value is confirmed by the torque present at the time of tapping. With high torque values it is advisable to choose a tap and implant with a smaller diameter, for example diameter 4 mm. With gradually lower torque values it is advisable to increase the diameter of the implant compatibly with the thickness between the cortices.I remember that unlike current implant systems, the value of the emerging neck of the Tramonte implant is always and only 2 mm even when the overall diameter is 6 or 7 mm or even 8 or 10 mm.
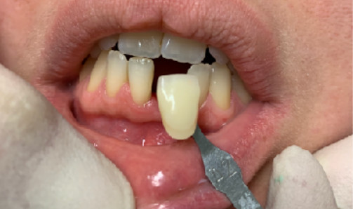
The reduced diameter of the neck allows you to protect yourself from any peri-implantitis and significantly improves the speed of healing. In this case it was tapped with a diameter of 4 and a Tramonte implant with a diameter of 4 mm with 7 threads with short neck was inserted. The titanium used is always grade 4.
| Date: 3 dic 2020 | Clinic: Guidizzolo |
| Surname and name: Xxxxx Xxxx | Age: 32 years old |
| N ° existing implants: 0 | Date and number of interventions already made: nessuno |
| Type of implant : Tramonte | N ° implants inserted: 1 |
| Welding: No | Dental area: lower incisor 31 |
| Intraoral x-ray app: Vix-Win Guidizzolo x-ray | CT scan: no |
| Extractive situation: Immediate post-extraction implant with immediate loading. | Density according to Misch: D2 |
| Antagonist of natural fixed elements, implants or mobile prostheses: natural elements | Thick mucosa thickness medium thin: medium |
| Chewing height (high/medium/low): medium | Bruxism: no |
| Photo: iPhone XS | Models: yes |
| Consent / Information: yes | Privacy: yes |
| Operator 1: Dr. Bellini MA | Operator 2: Dr. Bazzoli F |
| Drill sequence: Lanceolate cutter only | Sequence of taps: tap diameter 4 mm |
| Occlusal loading: immediate light | |
| Description of the intervention | |
| Complications: none | Video or written statement of satisfaction |
In the next news I propose to illustrate the technique of the Italian school of implantology which is diversified. In particular I will try to show in detail one of its best known methods: the one that we were taught for the first time by Dr. Stefano Tramonte, who has adopted it since the 1960s, using titanium as implant material among the first in the world. I was lucky enough to learn this technique by the man himself at one of the GISI congresses in Bologna in 1987. Branemark also began to use titanium for his implants in the 1960s, albeit with forms and methods completely different from those that were then being used in Italy. I would like to remind you the other fathers of Italian implantology: prof. Pasqualini, dr. Garbaccio, dr. Mondani, prof. Muratori, dr. Pierazzini, the connoisseurs of juxtaosseous implantology, needle implantology, blade implantology. Abroad, Dr. Linkow, Dr. Carl Misch and the many others who were the founding fathers of implantology.
Bazzoli Francesco
Ops!
Sembra che la versione di questo browser non sia supportata.
Puoi provare con uno dei seguenti browser
Chrome
Firefox
Edge
Safari
Opera