3 - SHAPE OF THE IMPLANTS AND BONE DENSITY


News n. 3 07/12/2020 

Carl E. Mish USA in his 'Contemporary Implant Dentistry' ed. Italian 2000, page 113 paragraph: bone density - tactile determination - states: “

To give a clear idea of ​​the tactile sensation linked to different bone densities, we will refer to materials of corresponding density. When drilling D1 bone, it feels like drilling oak or maple wood; when drilling D2 bone, it feels like drilling pine or spruce. On the other hand, when D3 bone is drilled, it seems to drill balsa wood, while finally, with D4 bone it seems to drill polystyrene.”

This classification, which recurs throughout Mish's work, was fortunate and is used throughout the world. However, after these similarities why does Mish, instead of using cutters and tappers for wood, use cutters, taps and implants with threads for iron?

Iron has an incomparably higher density than any type of wood.

The least experienced reader can recognize an iron screw and distinguish it from a wood screw and should know their strength in their respective materials. An iron screw has a stem and thread that are unsuitable for their function in wood. It works badly.

Wisely forty years earlier, Dr. Tramonte Stefano ITALIA has equipped his implant with a shape similar to that of wood screws.

The engineers and craftsmen grin when I ask them the question: given the density of the material (bone), which fillet do you choose?

But now let's go into detail because the characteristics of the various parts of the implant shape and the advantages it offers are many and you cannot hide them or pretend that they do not exist because they have multiple and long-lasting consequences.

PRODUCT CHARACTERISTICS OF TRAMONTE IMPLANT, which is in one piece.

1- the stem

2- the neck

3- the dimensions, shape and thickness of the coils

4- the pitch of the coils

5- the stump

6- the grade of titanium.

7- the finishing of the work.                                                   We will talk about it later ...

 

Acquafredda Clinic Age 70 years

Date and number of interventions already made: before 2008 2 Implants. 10/2008: 1 implant in 12. 07/2009: 2 implants in 21 and 11. 11/2009: 4 implants in 23,24,25,26. 05/2010: 1 implant in 22. 07/2010: 2 implants in 14.14. 08/2012: 2 Implants in 31.32. 05/2019: 2 implants in 34.36.

Date 10/07/2020

 surname and name Xxxxxxx Xxxxxx

 N ° existing implants 6 lower and 10 upper

Type of implant: Tramonte

N ° implants inserted: 2

  Welding No

Dental area 33.43

  Vixwin Acquafredda intraoral Rx app

CT scan yes

  Extractive situation: immediate post-extraction implants

Density according to Misch: D2

  Antagonist of natural fixed elements, implants or mobile prostheses: bridges on implants.

Date 10/07/2020

 surname and name Xxxxxxx Xxxxxx

 N ° existing implants 6 lower and 10 upper

Type of implant: Tramonte

N ° implants inserted: 2

  Welding No

Dental area 33.43

  Vixwin Acquafredda intraoral Rx app

CT scan yes

  Extractive situation: immediate post-extraction implants

Density according to Misch: D2

  Antagonist of natural fixed elements, implants or mobile prostheses: bridges on implants.

Date 10/07/2020

 surname and name Xxxxxxx Xxxxxx

 N ° existing implants 6 lower and 10 upper

Type of implant: Tramonte

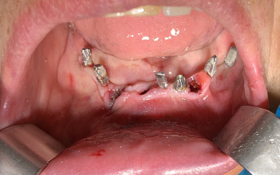
As shown in the extract from the chronological registry of implants shown above, the patient underwent several times to implant operations, facing sectoral problems as they arose.

All the implants have always coexisted with natural elements that presented variable patterns of periodontal disease.

In my opinion it is a remarkable situation if we compare it with the statistics reported by the official 'osseointegrated' implantology. I’ve found it in many other patients with implant cases that coexist with natural periodontal disease elements without being affected by infections.

I attribute this happy condition to the particular shape in the emergency area of ​​the Tramonte implants. They are equipped with a long thin neck. This guarantees the presence of a very tight adherent gingiva sleeve, effectively inhibiting the penetration of bacteria.

Furthermore, since it is not built in several parts (because it is a monobloc) ,it does not have internal cavities which when colonized by bacteria constitute very effective reservoirs in perpetuating an infectious and inflammatory condition.

This time the patient wanted to undergo the operation under general anesthesia, carried out at our clinic in Acquafredda with a well-equipped anesthetist with long experience.

The second aspect strictly dependent on the patient's implant history was the presence of corrected disparallelisms at the end of the surgery before providing him him with a temporary phosesiscircular. At the end of the session at 11.45. all implants appear solid and without signs of evident peri-implantitis or mucosal inflammation.

It is now understood that it is a very small sacrifice not to reach aesthetic perfection because the function is safeguarded in the long term.

It is useless to remember that it is still a matter of prostheses and in the area of ​​connection between the prosthesis and the surface of the body, aesthetic perfection is only a wishful thinking.

bazzoli francesco / bellini maria angela.

 

Ops!
Sembra che la versione di questo browser non sia supportata.
Puoi provare con uno dei seguenti browser

Chrome

Firefox

Edge

Safari

Opera